- TOP >
- 歯科医院Q & A
歯科医院Q & A
- 歯周病とは?
- 歯周病は、歯の周囲にある歯を支える組織(歯周組織)の病気です。歯周組織には歯肉、歯根膜、歯槽骨、セメント質があります。歯周病は、これらの歯周組織が炎症で破壊されてしまう病気です。歯周病の多くは無症状なので、自分で気づいた時にはかなり進んでいることがあります。以下のような症状があったら、歯周病が疑われます。
・歯みがきをすると歯ぐきから血が出る。 ・歯がぐらぐらする。 ・歯が長くなってきた気がする。 ・歯並びが悪くなってきた。 ・歯と歯のあいだにすき間ができた。 ・歯ぐきが、ムズムズする。 ・歯ぐきを押すと膿がでる。 ・口臭があると言われたことがある。
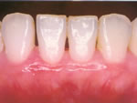
- 歯周病の治療法
-
<治療前>

<治療後>

1. - まずはセルフケアが大切。ブラッシングが基本です。毎日、きちんと歯みがきをしてプラークを取り除きましょう(プラークコントロールといいます)。歯磨剤にはハッカなどが含まれているので、清涼感にまどわされて磨いたつもりになりがちです。また研磨剤も含まれているので、多くつけすぎると歯がすり減ってしまいます。歯磨剤は「マッチ棒の頭」くらいの量で十分です。歯と歯の間は歯間ブラシや糸ようじ(デンタルフロス)を使って清掃してください。
2. プロフェッショナルケアも受けましょう。定期的に歯科医院で定期健診を受け、その際には、歯石を除去(スケーリングといいます)してもらいましょう。 3. 早期発見、早期治療。むし歯が見つかったら、初期の段階で治療を受けましょう。 この3つが大切です。1年に1回は定期健診を受けてることをお勧めします。例えば自分の誕生日など決まった日にしておくと忘れることがありません。
- 歯の仕組み
-

成人の歯は通常28本。「親知らず」と呼ばれる第3大臼歯4本を加えると32本になりますが、最近では生えない人も多いようです。
これらの歯は、「切歯」「犬歯」「臼歯」の3種類に分けられ、また、歯肉から上に見える部分を「歯冠」、歯肉に隠れている部分を「歯根」といいます。
歯は、「エナメル質」「象牙質」「セメント質」から成り立っています。エナメル質はからだの中でもいちばん硬い組織で、水晶に近い硬度です。また、歯の中心部には、神経や血管が入り込んだ「歯髄」という大切な組織があります。
- 根管治療とは?
- 根管治療とは、細菌に感染したり損傷を受けた歯髄を取り除くことによって歯根周辺の病気を治療・予防するものです。
深い虫歯や歯の亀裂、歯への外傷によって歯髄が細菌に感染したり、損傷したり、歯髄死になることもあります。そのまま放っておくと、歯根周辺の組織にも感染が広がり、痛みや腫れが生じます。治療しないと抜歯が必要になるケースもあるため、早期に歯科医に診てもらうことが重要です。
- 根管治療の治療法

1.虫歯で歯髄(歯の神経)に炎症が起こっているので抜髄しなければなりません
2.麻酔をし、神経をとるために歯に穴を開けます。
3.ファイルという細い針で根管内の神経を取ります。
4.根管内を綺麗に消毒した後、根管内にガッタパーチャというゴムを充填します。歯に冠を被せて完了。- 虫歯とは?
- プラークの中にはむし歯の主な原因菌であるミュータンス菌(Streptococcus mutans)がいます。ミュータンス菌は砂糖の成分であるスクロースを栄養源として、水に溶けにくいネバネバしたグルカンという物質を作ります。それだけでなく、スクロースを代謝する際に有機酸を作り、この酸が歯を攻撃してむし歯を発生させます。
むし歯は、程度によってC1、C2、C3、C4に分けられます。Cはカリエス(caries)の略でむし歯の意味です。

C1
むし歯は、歯の表面を覆うエナメル質にできる白斑や着色から始まります。奥歯では溝が白くなったりします。表面的なもの(C0といいます)では治療の必要はなく、経過を観察して様子をみます。症状が進むと白斑は黒っぽくなってきます。エナメル質がむし歯で壊れて、治療が必要な段階になったものをC1といいます。
C2
やがてむし歯がエナメル質の下にある象牙質まで進むと痛みが出てきます(C2といいます)。症状として多いのは「冷たい物がしみる」です。表面の穴は小さくても、むし歯は中で広がっています。C2では、多くの場合、むし歯の部分を削って、そこに金属やレジン等を詰めることで治療できます。多くの場合、1回から2回の治療で済みます。
C3
症状が進むとやがて「ズキズキ痛い」状態になります。この段階では、歯の神経の部分(歯髄)にまでばい菌が入っており、急性歯髄炎という状態になっています。そうした場合には、歯の根(歯根)の治療(根管治療)までが必要になってきます。根管治療は数回にわたる来院が必要になるだけでなく、多くの場合、歯の頭(歯冠)にはクラウンをかぶせるようになります。C4
さらにむし歯が進んで、歯の根だけになってしまったようなものをC4といいます。この段階になると痛むことはあまりなく、歯髄は腐敗して死んでしまっています。ばい菌は顎の骨の中にも入って炎症を起こします。根管治療で治療することのできる場合もありますが、抜歯が必要になることもあります。 - PMTC(Professional Mechanical Tooth Cleaning)とは?
- 歯ブラシでは落としきれないバイオフィルムや歯の至る所の汚れ・着色を落とし、歯茎のマッサージ・歯面の研磨・ウ蝕予防のフッ素塗布までを行うクリーニングです。
<定義>
「特別な訓練を受けた予防歯科看護婦、歯科衛生士あるいは歯科医師などの専門家による歯肉縁上ならびに歯肉縁下1~3mmのプラークをすべての歯面から、機械的な電動機具とフッ素含有研磨用ペーストを使って選択的に除去すること」

普段歯磨きによって落としきれない歯垢は、細菌とくっつき歯ブラシでは落とすことの出来ないバイオフィルムを形成します。このバイオフィルムはお口の中のpHを4.0以下(健康なお口の中のpHは5.5~6.5の中性)の酸性にし、むし歯・歯周病をより起こしやすい状態に変えてしまいます。スケーリング(歯石とり)および、ルートプレーニング(根面滑沢)などの機械的な方法(PMTC)によってバイオフィルムを破壊し、口腔健康維持のためにプラークが付着しにくい環境を作ることができます。
「PMTC」についてはこちらもご覧ください。
- 入れ歯とは?
- 「床(しょう)」と呼ばれる土台の上に人工歯を並べ、床に取り付けたバネで支えとする歯(維持歯といいます)に固定する方式です。維持歯がパーシャルデンチャー全体を支える構造なので、維持歯への負担は大きく、虫歯や歯周病にかかるリスクも高まります。それ以上義歯を大きくしないためにも、定期的なチェックを受けて維持歯の健康を守りましょう。 こうした欠点を補うために、最近ではバネ部分の工夫やバネ以外で固定する技法などが開発されています。
「入れ歯」についてはこちらもご覧ください。 - 無痛治療とは?
電動注射器を使用することにより麻酔の注入速度、注入圧が一定になり、注入時の痛みを軽減します。また麻酔薬の温度を加温し体温に一致させ刺激をより少なくします。注射針については通常直径0.3ミリ使用の所、横山歯科医院では、0.26ミリの極細針で痛覚の少ない部位を選んで刺入するので、痛みはほとんどありません。
- 歯軋り(歯ぎしり)とは?
-
歯軋りをするとうるさいのもそうですが、やはり顎(あご)の負担や、歯の負担が問題ですよね。歯が擦り切れたり、ひどくなると折れたり割れたりします。大人のみならず子供にも共通の症状です。
歯軋りの症状としては、クレンチング(噛み締め、食いしばり)やタッピング(ガチガチと音を立てて噛む)、グラインディング(ギリギリと歯を磨り潰すような音がする)などがあります。
原因としてストレス、睡眠障害、不正交合などがあります。それぞれに治療法は異なりますのでまずはご相談ください。 - インプラントとは?
-
インプラント治療は、歯がなくなったところの歯根に当たる部分に人工の歯根(インプラント)をかぶせる治療法です。
あごの骨にしっかりと固定されるインプラント治療なら、まるで自分の歯のように食事をすることができます。また、見た目も自分の歯のように自然に仕上げることができるので、人前でも口元を気にせず、食事や会話を楽しむことができます。インプラント治療で日常の楽しさを取り戻してみませんか。
「インプラント」についてはこちらもご覧ください。 - フッ素、シーラントとは?
-
虫歯の治療はもちろん、転んで歯をぶつけたりした場合の外科的処置や歯並び・かみ合わせの異常に対する咬合誘導(矯正処置)、お口の感染症に対する処置、さらには全身的な障害があるお子さんの治療などを行います。
歯科医による定期的な検診、ならびにクリーニングやフッ化物塗布、シーラントなどの予防を目的とする歯科医療は、お子様の歯を守る保険といえます。
定期的に歯科検診を行うことによって、早期の治療が可能となり、虫歯とその治療の規模を最小限に抑えることが出来ます。必要に応じてレントゲン写真を撮り、歯の生え方を調べることもあり、この際に隠れた虫歯が見つかることもあります。フッ素はむし歯に強い歯をつくる性質を持っています。このフッ素を定期的に歯に塗ることで歯質を強化します。歯に直接フッ素を塗るので、市販の歯磨剤よりも効率的に取り込むことが出来ます。
奥歯の噛む面には溝があり、むし歯が出来やすいところです。ここにシールをしてむし歯を予防する方法があります。これがシーラントです。シーラントは歯を削ることがないので痛みはありません。
横山歯科医院
〒182-0014
調布市柴崎2-37-18
TEL(042)483-9910



